Naše usluge


Fiksna protetika


Mobilna protetika
Medicinska sredstva

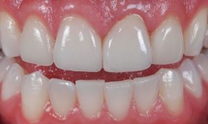
Metalokeramičke krunice

METALOKERAMIČKE KRUNICE
Prilikom dobijanja uzetog otiska sa kašikom od strane doktora stomatologije vršimo nalijevanje otiska u gipsu (vakum aparat), te nakon stvrdnjavanja gipsa vadimo model iz otiska te obrezujemo model (obrezivač modela), nakon toga siječemo model (patrljke) te stavljamo u zagriz zatim artikulušemo u artikulator. Poslije toga modelujemo patrljke sa voskom i nastavljamo sa završnim modelovanjem.
Nakon modelovanja, model šliftiramo, te ga skidamo sa patrljaka i takav se važe ( vaga za metal) te se ulaže u kivete gdje se nalijeva sa masom za ulaganje. Nakon stvrdnjavanja mase, prebacuje se u peć za žaranje i pregrijavanje. Određeno vrijeme se grije gdje se dalje prebacuje u aparat za lijevanje, gdje smo ubacili metal koji se u aparatu za lijevanje topi i ubrizgava u kivetu tako da dobijemo u kiveti odlivak u metalu. Nakon hlađenja kivete, razbijamo kivetu te dobijamo odlivak u metalu koji zato pjeskarimo (pjeskara) da bih ga očistili od ostatka mase. Zatim obrađujemo metal mikromotorom gdje ga adaptiramo na patrljke tj. radimo model.
Nakon toga se ponovo pjeskira, te se maže prbom vezom sa keramikom (bond), gdje se peče na određenoj temperaturi u peći za keramiku. Zatim se nanosi opaker, isti postupak pečenja u peći za keramiku, da bi se nakon toga nanosila keramika i po završetku glazura gdje bi i na kraju bio gotov rad.

Bezmetalne krunice

BEZMETALNE KRUNICE
Sam način izrade bezmetalnih keramičkih kruna: kompjutersko skeniranje otiska, jako precizno brušenje i lasersko sječenje cirkonijuma dovodi do preciznog nalijeganja budućeg bezmetalnog rada bez ikakvog dugotrajnog upasivanja i guranja pod desni. Samo brušenje za bezmetalne krune ide tik do desni ili pola milimetra ispod desni (ovako se dobija najbolji estetski efekat) tako da ne postoji nikakvo ugrožavanje ili reakcija desni na cirkonijum, a i sam materijal je višestruko biokompatibilniji od metala.

Livene nadogradnje
LIVENE NADOGRADNJE
Već uzeta akrilatna nadogradnja od strane doktora stomatogije se štiftira i ulaže u kivete sa masom, te isti postupak pregrevanja i livanja kao sa metalokeramičkim krunicama, da bi obradom istih te pjeskiranjem bio gotov rad.

Totalna proteza
TOTALNA PROTEZA
Prilikom dobijanja uzetog otiska u kašici od strane doktora stomatogije vršimo nalijevanje otiska gipsom (vakum aparat), te nakon stvrdnjavanja gipsa vadimo model iz otiska gdje ga obrezujemo (obrezivač modela). Nakon toga pravimo kašike od polimerizajućeg metala (adaptiramo na model) gdje vraćamo doktoru stomatogije na uzimanje preciznog otiska koji ponovo nalijevamo kao i prvog puta u gipsu. Zatim na naliveni model nanosimo vosak na koji će se raditi postavka akrilatnih zuba (adaptacija zuba prema vilici) te se šalju doktoru stomatologije na probu zuba.
Nakon probe postave odel se utapa u forgus gdje će ostati otisak kao kalup te skidamo akrilatnih zube sa modela da bi ih stavili na svoje mjesto u kalupu od forgusa. Zatim se ulaže u kivete za proteze gdje će se nalijevati tečni akrilat gdje se zatvara u kivetu te stavlja pod presu. Nakon toga se ubacuje u poliklav pod pritiskom gdje se nakon toga proteza več formirana vadi iz kiveta te se obrađuje mikromotorom, zatim se polira na motoru za poliranje. Tada je ista izavršena.

Parcijalna proteza
PARCIJALNA PROTEZA
Isti postupak kao sa totalnom protezom sem ubacivanja obuhvatnih kukica (metalna žica) koju siječemo kliještima za žicu, gdje obuhvatamo oko zuba kao retenciju da bi se proteza bolje držala da ne bi došlo do spadanja iste.

Skeletirana proteza
SKELETIRANA PROTEZA
Postupak kao sa totalnom protezom, sem što se kod skeletiranih proteza model dublira u kivete za dubiranje gdje će se na dubliranom modelu modelovati voskom skelet po grebenu te se nakon modelovanja model sa voskom ulaže u kivetu sa masom koja se nakon stvrdnjavanja ubacuje u peć za žarenje. Nakon izvjesnog vremena se ubacuje u aparat za lijevanje te se izlijeva u metalu (postupak kao kod metalokeramičkih krunica ), zatim se izliveni skelet oslobađa od mase te se pjeskari u pjeskari da se oslobodi od ostatka mase.
Nakon toga se mikromotorom obrađuje te se adaptira na prvi gipsani model gdje se dalje ubacuje u aparat za elektrolitičko poliranje metala gdje će se osloboditi svih nečistoća i dobiti sjajan poliran izgled. Nakon toga se postavlja na model gdje se dalje modeluje u vosku te postavljaju akrilatni zubi da bi se poslali na probu postavke doktoru stomatologije.
Nakon probe postave nastavlja se procedura otapanja forgud radi kalupa te se završava proteza kao u postupku totalne akrilatne proteze.
Materijali za izradu zubne protetike
U savremenoj zubnoj protetici redovno se koristi nekoliko temeljnih materijala.
Materijali od kojih se najčešće izrađuju dijelovi koji oponašaju krunu zuba jesu staklokeramika, zubna keramika, cirkonijeva keramika (kolokvijalno “cirkon”) i PEEK (polietereterketon). Baze zubnih proteza najčešće izrađujemo od akrilatne smole.
Svi ovi materijali biokompatibilni su, vrlo otporni na trošenje te zadržavaju volumen, oblik i boju. Ipak međusobno se razlikuje po cijeni, kvalitetu i estetici pa je za konačni odabir važno tražiti ravnotežu između preporuke stomatologa i očekivanja pacijenta.
Staklokeramika se u zubnoj protetici počela koristiti 70-ih godina. Posjeduje visoku mehaničku čvrstoću i izuzetna estetska svojstva zbog kojih od staklokeramike izrađujemo bezmetalne zubne krunice.
Zahvaljujući visokim estetskim svojstvima ovaj materijal pogodan je za vrlo vjerne imitacije prirodnog zuba.




